Giải pháp nhuộm gram vi khuẩn tự động
Nhuộm Gram Vi Khuẩn Là Gì?
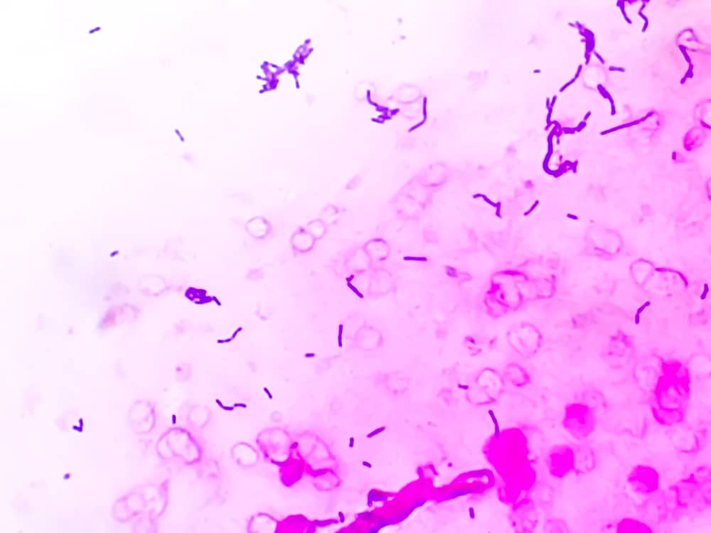
Phương pháp nhuộm Gram là kỹ thuậ nhuộm vi sinh. Giải pháp này giúp phân biệt vi khuẩn thành hai nhóm chính: Đó chính là vi khuẩn Gram dương và vi khuẩn Gram âm, dựa trên chính khả năng giữ màu của thành tế bào sau khi nhuộm.

Tham khảo: Nhuộm gram
Nhờ vào đặc điểm của vi khuẩn Gram dương có thành tế bào dày, giữ màu tím của thuốc nhuộm crystal violet, trong khi đó vi khuẩn Gram âm lại có thành tế bào mỏng, mất màu tím và chuyển sang màu hồng khi nhuộm với thuốc đối chiếu safranin.
Giải pháp nhuộm gram vi khuẩn này không chỉ giúp xác định các loại vi khuẩn mà còn cung cấp thông tin quan trọng để giúp phác đồ điều trị cho bệnh nhân lựa chọn kháng sinh phù hợp.
Các Bước Nhuộm Gram Vi Khuẩn

Kỹ thuật nhuộm gram vi khuẩn đòi hỏi các bước thực hiện chuẩn nghiêm ngặt đúng quy trình. Sau đây là các bước nhuộm gram vi khuẩn bạn có thể tham khảo:
Chuẩn bị mẫu:
- Lấy mẫu vi khuẩn từ môi trường nuôi cấy hoặc mẫu bệnh phẩm.
- Phết mẫu lên lam kính, cố định bằng nhiệt hoặc methanol để đảm bảo vi khuẩn bám chặt vào lam.
Nhuộm màu chính crystal violet:
- Nhỏ thuốc nhuộm crystal violet lên lam kính, để trong 1 phút.
- Rửa nhẹ bằng nước sạch để loại bỏ thuốc nhuộm dư thừa.
Cố định màu dung dịch iod:
- Nhỏ dung dịch Lugol’s iodine lên lam, để trong 1 phút. Iod giúp tăng khả năng giữ màu crystal violet.
Tẩy màu cồn hoặc acetone:
- Rửa lam bằng cồn 95% hoặc hỗn hợp cồn-acetone trong vài giây. Đây là bước quan trọng để phân biệt vi khuẩn Gram dương và Gram âm.
Nhuộm đối chiếu safranin:
- Nhỏ thuốc nhuộm safranin lên lam, để trong 30-60 giây.
- Rửa sạch và làm khô lam kính.
Quan sát dưới kính hiển vi:
- Đặt lam kính dưới kính hiển vi với vật kính dầu (100x) để quan sát. Vi khuẩn Gram dương sẽ có màu tím, trong khi vi khuẩn Gram âm có màu hồng.
Quy trình này đòi hỏi sự chính xác và kỹ thuật cao để tránh sai sót, đặc biệt khi xử lý số lượng mẫu lớn.
Tại Sao Vi Khuẩn Lao Không Nhuộm Gram Được?
Vi khuẩn lao hay còn có tên khoa học là Mycobacterium tuberculosis không thể được phân loại chính xác bằng phương pháp nhuộm Gram bởi đặc điểm cấu trúc thành tế bào đặc biệt.
Thành tế bào của vi khuẩn lao chứa hàm lượng lipid cao chủ yếu là mycolic acid, khiến chúng không giữ được thuốc nhuộm crystal violet hay safranin trong quy trình nhuộm Gram. Do đó, vi khuẩn lao thường được gọi là vi khuẩn không Gram hoặc Gram trung tính.

Thay vào đó, vi khuẩn lao được xác định bằng phương pháp nhuộm Ziehl Neelsen, sử dụng thuốc nhuộm carbol fuchsin và xử lý bằng cồn axit. Phương pháp này giúp vi khuẩn lao giữ màu đỏ tươi, dễ nhận biết dưới kính hiển vi.
Việc vi khuẩn lao không nhuộm Gram được làm nổi bật tầm quan trọng của việc sử dụng thiết bị và thuốc nhuộm chuyên dụng để đảm bảo kết quả chẩn đoán chuẩn xác.
Giải Pháp Tự Động Hóa Nhuộm Gram Vi Khuẩn
Trong tình trạng khối lượng mẫu xét nghiệm ngày càng quá tải ở nhiều cơ sở y tế, việc thực hiện nhuộm Gram thủ công có thể tốn thời gian và dễ xảy ra sai sót không đáng có. Bạn có thể tham khảo Máy nhuộm Gram tự động Dagatron AT-1000 Hàn Quốc ra đời là giải pháp tối ưu, giúp chuẩn hóa quy trình và nâng cao hiệu quả.
Tìm hiểu máy tại đây: Bộ nhuộm lam kính tự động
Máy nhuộm gram vi khuẩn tự động có khả năng xử lý đồng thời lên đến 20 lam kính mỗi chu kỳ, phù hợp với phòng thí nghiệm có khối lượng mẫu lớn.

Thiết kế ngăn riêng biệt: Mỗi lam kính được đặt trong một ngăn riêng, giảm thiểu nguy cơ lây nhiễm chéo, đảm bảo kết quả sạch và chính xác.
Kiểm soát thuốc nhuộm chính xác: Hệ thống điều khiển thuốc nhuộm tự động đảm bảo lượng thuốc nhuộm được sử dụng đồng đều, mang lại kết quả nhất quán.
Dễ dàng vận hành: Giao diện thân thiện, phù hợp cho cả kỹ thuật viên mới và có kinh nghiệm.
Những lợi ích khi sử dụng máy nhuộm gram vi khuẩn tự động.
- Tiết kiệm thời gian: Tự động hóa toàn bộ quy trình, giảm thời gian thực hiện so với phương pháp thủ công.
- Độ chính xác cao: Giảm thiểu sai sót do con người, đặc biệt trong bước tẩy màu.
- Tăng năng suất: Phù hợp cho các phòng thí nghiệm bận rộn, giúp xử lý số lượng lớn mẫu mỗi ngày.
- Hỗ trợ chẩn đoán: Kết quả nhuộm chính xác hỗ trợ bác sĩ đưa ra quyết định điều trị nhanh chóng và hiệu quả.

Nhuộm Gram vi khuẩn là một kỹ thuật không thể thiếu trong vi sinh vật học, giúp phân loại vi khuẩn và hỗ trợ chẩn đoán y khoa. Tuy nhiên, để đáp ứng nhu cầu xét nghiệm ngày càng cao, việc sử dụng máy nhuộm Gram tự động Dagatron AT-1000 cùng bộ thuốc nhuộm Dagatron là lựa chọn lý tưởng. Thiết bị này không chỉ nâng cao hiệu quả và độ chính xác mà còn giúp các phòng thí nghiệm tối ưu hóa quy trình làm việc.

English
