Tạp khuẩn là gì? Làm sao để tránh trong nhuộm gram?
Tạp khuẩn là gì?
Tạp khuẩn hay còn gọi là contamination hoặc cross contamination trong nhuộm gram chính là những vi khuẩn ma không tồn tại trong mẫu bệnh phẩm gốc của bệnh nhân.
Chúng chỉ xuất hiện trên kính hiển vi sau khi hoàn tất quy trình nhuộm. Những vi khuẩn này không phải là kết quả của nhiễm trùng thật sự mà là do ô nhiễm xảy ra trong lúc thao tác.
Khi quan sát dưới kính hiển vi kỹ thuật viên có thể thấy vi khuẩn lạ xuất hiện dẫn đến nhầm lẫn giữa gram dương và gram âm hoặc phát hiện vi khuẩn không có thật trong bệnh phẩm.

Tạp khuẩn là gì cũng được hiểu là sự lẫn lộn giữa các mẫu do dung dịch nhuộm dụng cụ hoặc môi trường lab mang lại.
Tìm hiểu về tập khuẩn loại 2 và loại 3
Tạp khuẩn loại 2 là gì?
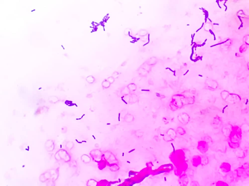
Tạp khuẩn loại 2 hay còn gọi là ô nhiễm từ reagent và dụng cụ nhuộm là dạng tạp khuẩn xuất hiện do dung dịch nhuộm cũ không được thay mới kịp thời.
Khi kỹ thuật viên sử dụng lại bình crystal violet, gram iodine, acetone alcohol hay safranine nhiều lần mà không thay reagent sạch, vi khuẩn từ không khí hoặc từ slide trước sẽ tích tụ dần vào dung dịch.

Những vi khuẩn này sau đó bám vào slide mới trong quá trình ngâm, tạo ra vi khuẩn ma trên kính hiển vi. Tạp khuẩn loại 2 thường gây ra tình trạng nhuộm không đồng đều, màu sắc bị lẫn lộn hoặc xuất hiện vi khuẩn lạ không thuộc mẫu bệnh phẩm.
Đây là nguyên nhân phổ biến nhất trong các phòng xét nghiệm làm nhuộm gram thủ công quy mô lớn vì vừa tiết kiệm chi phí vừa dễ bỏ qua việc thay thuốc nhuộm định kỳ.
Tạp khuẩn loại 3 là gì?
Tạp khuẩn loại 3 là dạng ô nhiễm đến từ môi trường phòng lab và thao tác của người thực hiện. Bụi bẩn trong không khí, hơi thở gần slide, tay không vô trùng, nước cất hoặc ethanol không đạt chuẩn vô trùng đều có thể mang vi khuẩn lạ vào tiêu bản.
Trong quy trình thủ công, kỹ thuật viên phải đổ thuốc, rửa slide, lau khô nhiều lần nên nguy cơ tạp khuẩn loại 3 tăng cao hơn rất nhiều.

Loại tạp khuẩn này thường khó phát hiện ngay vì không liên quan trực tiếp đến reagent mà đến từ yếu tố bên ngoài phòng xét nghiệm.
Nếu không kiểm soát chặt chẽ, tạp khuẩn loại 3 sẽ làm giảm độ tin cậy của toàn bộ kết quả nhuộm gram, dẫn đến chẩn đoán sai lệch và phải làm lại nhiều lần.
Tại sao tạp khuẩn dễ xuất hiện trong nhuộm gram truyền thống?
Quy trình nhuộm gram truyền thống sử dụng nhiều bước thủ công như ngâm slide vào bình nhuộm chung đổ crystal violet iodine acetone alcohol và safranine.

Mỗi lần nhiều slide được xử lý cùng lúc trong cùng một bình dung dịch thì nguy cơ tạp khuẩn tăng cao. Reagent cũ không được thay mới kịp thời sẽ tích tụ vi khuẩn từ không khí từ slide trước hoặc từ tay người thao tác.
Ngoài ra thao tác bằng tay nhiều lần như rửa slide bằng ethanol hay nước cất cũng dễ gây nhỏ giọt chạm slide này sang slide khác. Môi trường lab không đủ vô trùng bụi bẩn hoặc hơi thở gần slide đều là nguồn gốc của tạp khuẩn. Tất cả những yếu tố này khiến nhuộm gram thủ công trở thành quy trình có nguy cơ cao về tạp khuẩn.
Hậu quả nghiêm trọng của tạp khuẩn trong nhuộm gram
Khi tạp khuẩn xuất hiện kết quả nhuộm gram có thể sai lệch hoàn toàn. Ví dụ gram dương bị nhầm thành gram âm hoặc ngược lại dẫn đến chẩn đoán sai bệnh. Bác sĩ có thể kê đơn kháng sinh không đúng kéo dài thời gian điều trị hoặc thậm chí gây hại cho bệnh nhân.
Trong phòng xét nghiệm tạp khuẩn làm giảm độ tin cậy của toàn bộ kết quả xét nghiệm ảnh hưởng đến uy tín của lab và tăng chi phí kiểm tra lại. Do đó việc hiểu rõ tạp khuẩn là gì và chủ động ngăn chặn từ sớm là yêu cầu bắt buộc đối với mọi phòng xét nghiệm hiện nay.
Cách tránh tạp khuẩn khi nhuộm gram thủ công
Để giảm thiểu tối đa tạp khuẩn khi nhuộm gram truyền thống cần tuân thủ nghiêm ngặt một số nguyên tắc sau. Trước hết phải thay reagent mới sau mỗi mười đến hai mươi slide hoặc theo lịch cố định trong ngày.
Mỗi loại dung dịch như crystal violet gram iodine acetone alcohol và safranine cần được sử dụng trong bình nhuộm riêng biệt tuyệt đối không đổ chung.

Nước rửa slide phải là nước cất vô trùng và ethanol 95 phần trăm phải được thay mới thường xuyên. Toàn bộ quy trình nên thực hiện trong tủ an toàn sinh học class hai để hạn chế tiếp xúc với không khí bên ngoài.
Kỹ thuật viên cần dùng kẹp vô trùng không để các slide chạm nhau và lau khô slide bằng giấy thấm sạch hoặc để khô tự nhiên trong môi trường sạch. Cuối cùng dụng cụ phải được khử trùng và thay dung dịch rửa hàng ngày. Những biện pháp này giúp giảm tạp khuẩn đáng kể nhưng vẫn đòi hỏi sự cẩn thận cao và tốn nhiều thời gian.
Giải pháp nhuộm gram tự động hạn chế nhiễm tạp khuẩn
Phương pháp thủ công dù đã tối ưu vẫn không thể loại bỏ hoàn toàn nguy cơ tạp khuẩn. Đây chính là lý do các phòng xét nghiệm hiện đại đang chuyển sang sử dụng máy nhuộm gram tự động.
Trong số các thiết bị hiện có máy nhuộm gram tự động nổi bật với khả năng ngăn chặn tạp khuẩn hiệu quả nhất. Máy được thiết kế đặc biệt để giải quyết triệt để vấn đề này nhờ hai tính năng cốt lõi.

Thứ nhất mỗi lần nhuộm đều sử dụng reagent sạch và mới một trăm phần trăm không hề tái sử dụng dung dịch cũ.
Thứ hai mỗi slide được đặt trong không gian riêng biệt trên khay slide hoàn toàn không tiếp xúc với slide khác nên không xảy ra hiện tượng cross contamination.
Toàn bộ quy trình được tự động hóa giảm tối đa thao tác tay và tiếp xúc với môi trường bên ngoài. Nhờ đó máy nhuộm gram tự động có thể giúp kết quả nhuộm gram sạch chuẩn và đáng tin cậy hơn rất nhiều so với phương pháp thủ công.
Lợi ích vượt trội khi sử dụng máy nhuộm gram
Không chỉ ngăn chặn tạp khuẩn máy nhuộm gram tự động còn mang lại nhiều lợi ích vượt trội khác. Thời gian nhuộm gram chỉ còn 7 phút xử lý cùng lúc đến 20 slide mà vẫn đảm bảo độ đồng đều cao.

Kết quả gram dương hiển thị màu tím đặc trưng và gram âm hiển thị màu đỏ rõ nét dưới kính hiển vi. Máy còn giảm đáng kể tiếp xúc với hóa chất nguy hiểm nâng cao an toàn cho nhân viên lab. Với thiết kế đơn giản chỉ cần xếp slide vào khay và bấm nút là hoàn tất bất kỳ ai cũng có thể sử dụng mà không cần đào tạo phức tạp.
Tìm hiểu thêm về: So sánh các bước nhuộm gram thủ công và tự động
Hiểu rõ tạp khuẩn để nhuộm gram đúng cách
Tạp khuẩn không chỉ làm sai lệch kết quả mà còn ảnh hưởng trực tiếp đến chẩn đoán và điều trị. Phương pháp thủ công đòi hỏi nhiều biện pháp nghiêm ngặt nhưng vẫn tồn tại rủi ro. Nhờ công nghệ phát triển mà máy nhuộm gram tự động ra đời mang đến giải pháp tối ưu gần như loại bỏ hoàn toàn tạp khuẩn nhờ reagent mới mỗi lần và không gian riêng biệt cho từng slide.
Nếu phòng xét nghiệm của bạn đang gặp vấn đề về tạp khuẩn hoặc muốn nâng cao hiệu quả nhuộm gram đây chính là thiết bị đáng đầu tư nhất hiện nay.

English
